Cirujanos de Famosos: ¿Quién opera a Alaska?
Descubre quién es el cirujano plástico detrás del look de Alaska y Mario. Te revelamos...
El diagnóstico de cáncer marca un antes y un después en la vida de una persona. Los tratamientos, aunque vitales para combatir la enfermedad, a menudo dejan secuelas físicas y emocionales significativas. La cirugía para extirpar un tumor o la radioterapia pueden alterar drásticamente la apariencia del cuerpo. Es en este punto donde la cirugía plástica oncológica emerge como una disciplina fundamental, no solo para restaurar la forma y la función, sino también para reconstruir la confianza y ayudar a cerrar un capítulo increíblemente difícil. Este tipo de cirugía va más allá de la estética; es un pilar en la recuperación integral del paciente, devolviéndole una sensación de normalidad y bienestar.

Para comprender la necesidad de la cirugía reconstructiva, es crucial entender los tratamientos oncológicos primarios. La cirugía y la radioterapia son dos de las herramientas más potentes en la lucha contra el cáncer, y a menudo se utilizan en combinación.
La cirugía sigue siendo el estándar de oro para muchos tipos de tumores. Su propósito puede variar considerablemente:
La radioterapia utiliza altas dosis de radiación para destruir las células cancerosas o ralentizar su crecimiento dañando su ADN. No mata las células de inmediato; el proceso puede durar semanas o meses después del tratamiento. Sin embargo, este poderoso tratamiento no está exento de efectos secundarios, especialmente en la piel del área tratada.
Los pacientes pueden experimentar:
Aunque la mayoría de estos síntomas son temporales, la piel puede quedar permanentemente más seca, oscura y sensible al sol. Estos cambios, sumados a las cicatrices de la cirugía, son el punto de partida para la intervención del cirujano plástico oncológico.
La cirugía plástica reconstructiva oncológica es una subespecialidad dedicada a restaurar la forma y la función de partes del cuerpo afectadas por el cáncer o su tratamiento. Su objetivo principal es mejorar la calidad de vida del paciente. No se trata de un procedimiento meramente estético, sino de una intervención médica necesaria que aborda deformidades, restaura funciones vitales (como la capacidad de masticar o hablar) y minimiza las cicatrices visibles, ayudando al paciente a reintegrarse social y emocionalmente.
Esta disciplina trabaja en estrecha colaboración con los cirujanos oncológicos, a menudo en el mismo acto quirúrgico, para lograr los mejores resultados posibles desde el inicio.

Los procedimientos reconstructivos son altamente personalizados, pero se aplican con mayor frecuencia en cirugías de cáncer de mama, piel, cabeza y cuello.
Para muchas mujeres, la pérdida de uno o ambos senos es una de las consecuencias más devastadoras del cáncer de mama. La reconstrucción mamaria busca recrear la forma y el volumen del seno extirpado. Las técnicas varían según la cantidad de tejido extraído y las características de la paciente.
| Técnica de Reconstrucción | Descripción | Consideraciones |
|---|---|---|
| Implantes o Prótesis | Se coloca una prótesis de silicona, similar a la usada en aumentos mamarios estéticos. Generalmente se implanta detrás del músculo pectoral para una mejor sujeción. | Es una cirugía más corta. Puede requerir reemplazo a largo plazo. La sensación del seno no se recupera por completo. |
| Expansores Tisulares | Si no hay suficiente piel, se implanta una prótesis vacía (expansor) que se llena gradualmente con solución salina durante varias semanas. Esto estira la piel poco a poco hasta crear espacio para el implante definitivo. | Requiere múltiples visitas al consultorio para los rellenos. Es un proceso de dos etapas quirúrgicas. |
| Colgajos de Tejido Autólogo | Se utiliza piel, grasa y a veces músculo de otra parte del cuerpo de la paciente (como el abdomen, la espalda o los glúteos) para reconstruir el seno. | El resultado es más natural y duradero. La cirugía es más larga y compleja, con un tiempo de recuperación mayor y cicatrices adicionales en la zona donante. |
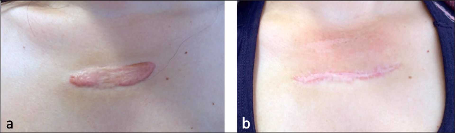
En el tratamiento del cáncer de piel, como el carcinoma basocelular o escamoso, el objetivo es extirpar completamente el tumor. El cirujano plástico juega un doble papel: asegurar la resección completa y reconstruir el defecto resultante con el mejor resultado estético posible.
La técnica más común es la cirugía excisional, donde se extrae el tumor junto con un borde de piel sana, conocido como margen de seguridad. La muestra se envía a un patólogo para confirmar que todos los bordes están libres de cáncer. La reconstrucción se realiza en el mismo momento, utilizando técnicas como:
Los cánceres en la región de la cabeza y el cuello pueden afectar áreas críticas para funciones como hablar, comer y respirar, además de tener un impacto visual enorme. La cirugía reconstructiva en esta zona es extremadamente compleja y vital.
Los objetivos incluyen:
Como cualquier procedimiento quirúrgico, la cirugía plástica oncológica conlleva riesgos y posibles efectos secundarios. La recuperación varía según la complejidad de la intervención.

El orden depende del tipo de cáncer, su estadio y el plan de tratamiento individual. La radioterapia se puede administrar antes de la cirugía para reducir el tamaño del tumor, durante la cirugía (radioterapia intraoperatoria) o después de la cirugía para eliminar cualquier célula cancerosa restante.
Existen dos enfoques principales. La reconstrucción inmediata se realiza en el mismo acto quirúrgico que la extirpación del tumor. La reconstrucción diferida se planifica para más adelante, a menudo después de completar otros tratamientos como la radioterapia o la quimioterapia. El tiempo de espera típico entre la cirugía oncológica y el inicio de la radioterapia suele ser de 4 a 10 semanas.
Generalmente, un seno reconstruido no tendrá la misma sensibilidad que el seno original. Con el tiempo, especialmente en los primeros años, parte de la sensibilidad puede regresar gradualmente, pero es poco probable que se recupere por completo.
En la mayoría de los países, la cirugía reconstructiva después de un tratamiento oncológico se considera parte del tratamiento médico y no un procedimiento estético, por lo que suele estar cubierta por los seguros de salud. Es fundamental consultarlo con la compañía de seguros específica.
En conclusión, la cirugía plástica oncológica es un componente esencial en el tratamiento del cáncer. Su enfoque va más allá de la simple restauración de la apariencia física; se centra en devolver la integridad, la función y la confianza a los pacientes, permitiéndoles no solo sobrevivir al cáncer, sino también prosperar después de él.
Descubre quién es el cirujano plástico detrás del look de Alaska y Mario. Te revelamos...
La ex-integrante de 2NE1, Park Bom, ha generado un intenso debate sobre su apariencia. Analizamos...
Descubre todo sobre la cirugía de pterigión, entropión y ectropión. Conoce tiempos de recuperación, costos...
Descubre cuánto tiempo dura una cirugía plástica. Analizamos los factores que influyen, desde un Mommy...