Blog

Ideas, consejos e historias sobre negocios locales

Cirujano

Dr. Javier Márquez Graciani: Cirugía Plástica

Descubre al Dr. Javier Márquez Graciani, especialista en cirugía plástica, estética y reconstructiva en Mayagüez. Conoce su trayectoria, servicios y por qué es tu mejor opción para cuidar tu bienestar y apariencia con profesionalismo y seguridad.
Labioplastia: Guía de Costo y Recuperación
Cirugía

Labioplastia: Guía de Costo y Recuperación

Descubre todo sobre la labioplastia: el costo, el proceso de recuperación paso a paso y cómo este procedimiento puede mejorar tu comodidad y confianza. ¡Resuelve todas tus dudas y toma una decisión informada para tu bienestar íntimo!
Estética

Guía Completa de Cirugías Plásticas Más Comunes

¿Interesado en una cirugía? Descubre los tipos de cirugía plástica más populares, desde la rinoplastia hasta la liposucción. Conoce las diferencias entre cirugía estética y reconstructiva y las preferidas por hombres y mujeres. ¡Infórmate aquí!
Reemplazo de Rodilla: La Guía Definitiva
Cirugía

Reemplazo de Rodilla: La Guía Definitiva

Sufres de dolor de rodilla crónico? Descubre todo sobre la artroplastia: el procedimiento, los riesgos, la recuperación y si es la opción ideal para recuperar tu movilidad y calidad de vida. ¡Infórmate aquí!
El Ken Humano: La Historia de Justin Jedlica
Celebridades

El Ken Humano: La Historia de Justin Jedlica

Descubre la increíble historia de Justin Jedlica, el 'Ken Humano'. Conoce por qué se sometió a cientos de cirugías y por qué exige que las celebridades sean honestas sobre sus retoques estéticos. Un viaje al extremo de la modificación corporal.
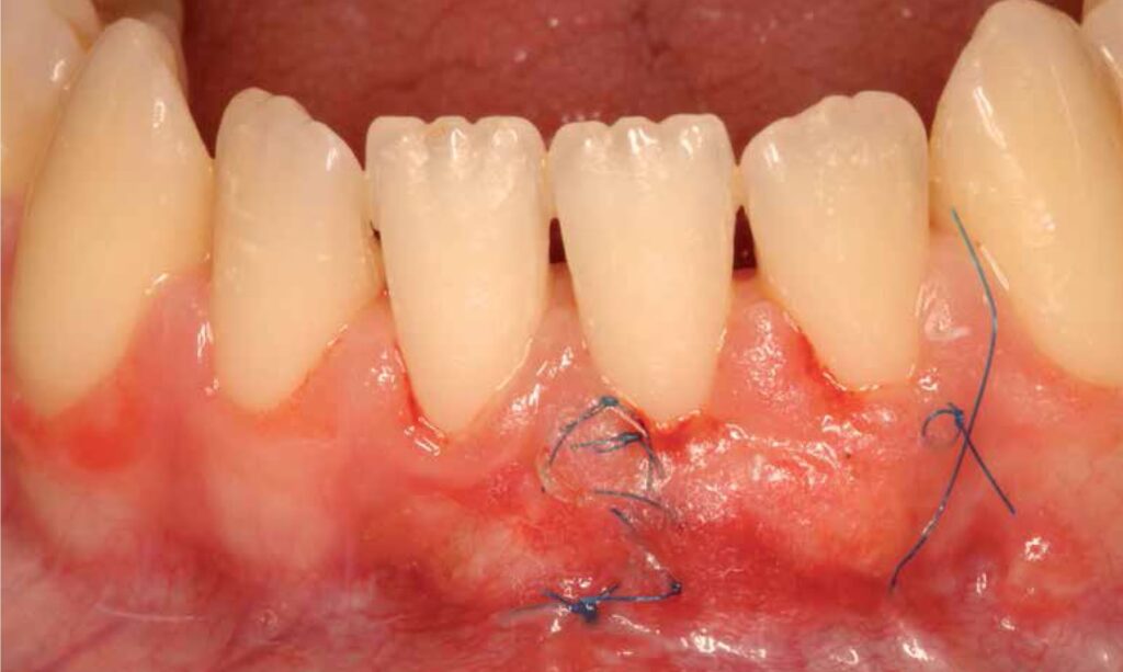
Costo de la Cirugía Plástica Periodontal
Salud

Costo de la Cirugía Plástica Periodontal

Descubre cuánto cuesta una cirugía plástica periodontal. Analizamos los precios de injertos de encía, gingivectomía y más, los factores que influyen en el costo y qué esperar de la recuperación. ¡Información clave para mejorar tu sonrisa!
Trasplante Capilar: El Rol del Cirujano Plástico
Cirugía

Trasplante Capilar: El Rol del Cirujano Plástico

Descubre si un cirujano plástico es la opción ideal para tu trasplante capilar. Analizamos su pericia, las técnicas que usan y los factores que definen el coste del procedimiento en España. ¡Toda la información que necesitas para decidir está aquí!
Marge Simpson y su Inesperada Cirugía Plástica
Cirugía

Marge Simpson y su Inesperada Cirugía Plástica

Descubre el icónico episodio donde Marge Simpson se somete a un aumento de pecho. Analizamos cómo la serie aborda la cirugía plástica, la autoestima y la presión social con su característico humor. ¿Fue un cambio para mejor? ¡Entra y descúbrelo!
Cirugía Reconstructiva Pediátrica: Una Guía
Cirugía

Cirugía Reconstructiva Pediátrica: Una Guía

Descubre qué es la cirugía reconstructiva pediátrica, qué condiciones trata y cómo ayuda a los niños a recuperar la función y la forma. Una guía completa para padres que buscan respuestas sobre estos procedimientos especializados y transformadores.
La Cirugía de Angelina Jolie: Guía Completa
Cirugía

La Cirugía de Angelina Jolie: Guía Completa

Descubre el innovador procedimiento de reconstrucción mamaria de Angelina Jolie. Analizamos la mastectomía en tres fases, el 'retraso del pezón' y los expansores tisulares que marcaron un antes y un después en la cirugía reconstructiva.